Les fractures du 5e métacarpien sont fréquentes. Le 5e métacarpien est le plus souvent blessé par une action de coup de poing (fracture du boxeur).
Les os peuvent, en plus d’être cassés, être décalés. On parle alors de fracture déplacée.
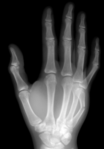
Le 5eme métacarpien peut être fracturé au niveau de sa base, de sa diaphyse (corps de l’os) ou de sa tête.

Fracture de la tête, de la diaphyse et de la base du 5e métacarpien
Une douleur, un gonflement ou la déformation du dos de la main peuvent traduire une fracture du 5e métacarpien. Un trouble rotatoire (doigts qui se croisent ou divergent) peut se produire. Il peut également, mais pas systématiquement, devenir difficile de bouger les doigts.
La radiographie réalisée met en évidence la fracture. Un scanner peut être nécessaire pour obtenir une meilleure analyse de la fracture.
Attention :
Fumer augmente le risque de complications quelque soit le type d’intervention chirurgicale. Arrêter de fumer 4 semaines avant l’intervention et poursuivre le sevrage au minimum 3 mois après diminue ce risque supplémentaire.
Si vous fumez, parlez-en à votre médecin, votre chirurgien ou votre anesthésiste ou appelez la ligne Tabac-Info-Service au 3989 pour vous aider à réduire les risques et mettre toutes les chances de votre côté.
Le traitement choisi dépend de plusieurs facteurs :
Les fractures stables et non déplacées pourront être prises en charge par une immobilisation seule par plâtre ou attelle. On parle de traitement orthopédique.
Pour les fractures instables ou déplacées, même si les fragments osseux sont repositionnés et qu’un plâtre est mis en place ensuite, ils auront tendance à re-bouger secondairement ou à adopter une mauvaise position avant de consolider. Ces fractures nécessitent donc une intervention chirurgicale afin de rétablir et maintenir l’alignement des fragments osseux en les fixant avec du matériel qui dépendra du type de fracture (plaque, vis, broches).

Ostéosynthèse par broche, plaque et vis
L’intervention se déroule au bloc opératoire, sous anesthésie loco-régionale (seul le bras est endormi), en ambulatoire (vous entrez et sortez de l’hôpital le même jour que votre intervention). La cicatrice réalisée sur le dos de la main mesure quelques centimètres en fonction de la nature de la fracture et du matériel nécessaire à la réduction de cette dernière.
L’attelle posée pour immobilisation après l’intervention doit être portée en permanence jour et nuit pendant 6 semaines.
La kinésithérapie au rythme de 3 séances par semaine doit être débutée dès la levée de l’immobilisation à la 6e semaine post-opératoire.
Lorsque ce sont des broches qui ont permis la réduction du foyer de fracture, ces dernières sont retirées lorsque que le foyer de fracture a consolidé (à 6 semaines en moyenne) au cours d’une seconde intervention au bloc opératoire.
Vous serez revu(e) en consultation de contrôle à l’UMPP dans le mois qui suit l’intervention. Plusieurs radiographies de contrôle seront à réaliser au cours du suivi.
La reprise du travail peut être envisagée dès la 6ème semaine en fonction des activités professionnelles.
Si des vis ou une plaque ont été posées, il est souhaitable de prévoir leur ablation au cours d‘une nouvelle intervention chirurgicale environ un an après l’accident. Les garder trop longtemps risque d’abimer les tendons. Cette nouvelle opération est à discuter avec votre chirurgien, en fonction de votre âge et/ou de la gêne éventuellement ressentie.
Les complications précoces principales liées à l’intervention sont :
Les complications tardives principales liées à l’intervention sont :
Cette fiche d’information a été rédigée par les chirurgiens de l’équipe Urgences Mains Paris Peupliers (UMPP).
Remise durant votre parcours de soins, elle est destinée à vous aider à mieux comprendre l’information délivrée par votre chirurgien. Il vous a expliqué la maladie dont vous souffrez ou dont il doit faire le diagnostic. Il vous a exposé les différentes modalité et alternatives de prise en charge et les conséquences prévisibles en cas de refus de l’acte proposé.
Vous sont exposées ici les raisons de l’acte pratiqué par votre chirurgien, son déroulement, les conséquences habituelles et les risques fréquents ou graves normalement prévisibles ainsi que les conditions du suivi après examen ou interventions.
Ce document, complémentaire de l’information orale que vous avez reçue, vous permet d’avoir une meilleure connaissance de votre pathologie et une prise de décision partagée avec votre chirurgien.
Il vous est recommandé de lire attentivement.